根管治療
根管治療
歯の内部には根管という歯髄(神経や血管)が入っている空間があります。外傷や虫歯によって歯髄に炎症を起こしたり、細菌感染を起こした場合に行われるのが根管治療です。根管内部の炎症を起こした歯髄や感染した部分の歯を除去し、洗浄消毒を行い、最終的には根管に詰め物を行って、また噛める状態にしていきます。

細菌感染した歯髄と歯の根の先に溜まった膿

感染した虫歯部分を丁寧に削る

感染している歯髄や膿の除去

薬剤を使用して洗浄・消毒

根管充填後、被せ物を装着

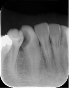
神経に達するほど大きな虫歯(中央の黒い部分)が出来ています。

細い針を用いて神経を除去していきます。

治療が終わった段階です。歯の根の先の方までしっかり詰め物をしています。

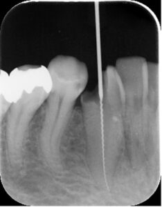
過去に根管治療をなされた患者様ですが、歯の根っこの先まで薬が詰まっておらず、細菌感染を起こして根っこの先に炎症(黒い部分)が出来ています。

古い詰め物、感染した根管内の歯質を除去しています。

歯の根の先まで薬を詰めて炎症の部分も小さくなっています。
根管治療は歯の根の状態、患者様の体調や免疫力などによって治療期間に差が出ます。場合によっては治療期間が長くなる可能性もあります。
根管治療中の歯はもろく、細菌感染にも弱い状態になっています。治療せずに放置すると感染が進み、痛みや腫れが出たり、最悪抜歯に至る可能性もあります。根管治療が始まりましたらできるだけ中断しないようにしましょう。
TOP